
In het vakgebied van de veterinaire neurologie is de laatste jaren ontzettend veel vooruitgang geboekt. Het steeds beter beschikbaar komen van onder andere CT-scans en MRI-scans voor neurologische patiënten heeft zowel de diagnostiek van aandoeningen van het zenuwstelsel als de daaropvolgende therapie drastisch veranderd. Onderzoek en publicaties hebben een vlucht genomen. De kennis die daarmee beschikbaar komt, maakt ook een verschil voor zowel de eerstelijnsdierenartsen als specialisten neurologie/neurochirurgie.
In dit drieluik, geschreven door Koen M. Santifort, dierenarts specialist neurologie (diplomate ECVN), wordt aan de hand van een aantal patiënten geïllustreerd wat er zoal mogelijk is op het gebied van diagnostiek en therapie van neurologische patiënten1.
Over de auteur
Koen werkt in een team van specialist neurologen, specialisten in opleiding, interns en paraveterinairen bij Evidensia Dierenziekenhuis Arnhem en Evidensia Dierenziekenhuis Hart van Brabant, Waalwijk. Collega dierenartsen zijn onder andere Paul Mandigers, Niklas Bergknut, Iris van Soens, Esther Lichtenauer, Marta Plonek, Quinten van Koulil, Marieke van den Heuvel en Annabel Bakker.
Een 1‑jarige mannelijk intacte Staffordshire terriër (Kwibus), geboren en opgegroeid in Nederland, werd aangeboden met klachten van sinds drie weken progressieve lethargie en duidelijke cervicale hyperesthesie. Kwibus had koorts (39,8 °C), een lage kophouding, en hijgde continu. De rest van het algemeen onderzoek gaven geen duidelijke afwijkingen.

Differentiaaldiagnoses op dat moment (top 3):
- SRMA (steroid-responsive meningitis-arteritis)
- Polyartritis
- Discospondylitis
Laboratoriumonderzoek (inclusief hematologie, biochemie, C‑reactief proteïne) was normaal, zonder aanwijzingen voor ontsteking. Dat is opvallend, want bij SRMA is dikwijls sprake van een verhoogd CRP.
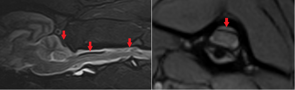
Na overleg met de eigenaren werd gekozen voor een MRI-scan van de kop en nek (waarvoor Kwibus ook verwezen was). Daarop werden diverse afwijkingen gezien, waaronder heterogeniteit van de subarachnoïdale ruimte (waar de cerebrospinale vloeistof stroomt), met hyperintensiteit op pre-contrast T1‑gewogen beelden en signal void op T2* (indicatief voor bloedproducten zoals hemoglobine) (Figuur 1). Deze afwijkingen waren verspreid vanaf de caudale craniale fossa (achterhoofd) tot de derde thoracale wervel.

Een subarachnoidale bloeding werd gediagnosticeerd op basis van deze bevindingen. SRMA kan gepaard gaan met bloedingen in of net buiten het ruggenmerg of de hersenen, maar er zijn ook andere oorzaken voor deze bloedingen mogelijk. Een belangrijke differentiaaldiagnose is een hemorragische diathese om wat voor reden dan ook. Als meest voorkomende oorzaak daarvan wordt bij neurologische patiënten een infectie met Angiostrongylus vasorum gerapporteerd. Vanwege het risico op aanvullende bloedingen werd gekozen geen liquorpunctie uit te voeren.
Er werd uitgebreid aanvullend onderzoek verricht, inclusief bloedstollingstesten, serologie en bloeddrukmetingen. Bij herhaalde thoracale auscultatie (na herstel van de anesthesie, toen Kwibus niet hijgde en een normale ademhalingsfrequentie en -ritme had) werden versterkte inspiratoire ademgeluiden vastgesteld. Röntgenfoto’s van de thorax leverde een beeld op passend bij een longworminfectie. De bloedingstijd van het buccale mondslijmvlies (BMBT) was 7 minuten en werd als abnormaal beschouwd (referentiewaarde: <4 minuten). De dag na opname ontwikkelde Kwibus een scleraal subconjunctivaal hematoom in het rechteroog en later op de avond ook in het linkeroog.

Een Baermann-coprologisch onderzoek leverde larven van A. vasorum op, waarmee de oorzaak van een hemorragische diathese (neiging tot bloeding) bevestigd werd. Interessant genoeg was een Angio Detect™ antigeentest negatief; dit illustreert dat dergelijke sneltests een hoge specificiteit, maar beperkte sensitiviteit hebben en vals-negatief kunnen zijn, terwijl de Baermann test wel positief was.
Kwibus werd behandeld met een combinatie van corticosteroïden (prednisolon), analgetica (o.a. paracetamol en gabapentine), milbemycine oxime/praziquantel (Milbemax®) eenmaal per week gedurende vier weken. Aanvullend werd behandeling met een spot-on met imidacloprid/moxidectin (Advocate®) maandelijks aanbevolen als preventie van herinfectie.
Na 72 uur opname werd Kwibus ontslagen; ondanks een zorgvuldige instelling van therapie trad er na vier dagen recidief van pijnklachten op, waarna hij tijdelijk heropgenomen werd. Op de lange termijn is Kwibus in klinische remissie (inmiddels 3 jaar verder), met herhaaldelijk negatieve Baermann-tests.
Dit is de eerste klinische beschrijving van subarachnoïdale bloeding bij een hond veroorzaakt door A. vasorum; eerder beschreven gevallen betroffen vooral intracraniële of spinale intracerebrale bloedingen maar niet specifiek subarachnoïdale bloedingen. Dat heeft de betrokken ertoe gemotiveerd de casus te publiceren (https://www.frontiersin.org/journals/veterinary-science/articles/10.3389/fvets.2023.1190792/full ).
Het klinisch beeld van deze patiënt was zeer suggestief voor SRMA. De behandeling van die aandoening centreert rondom het gebruik immunosuppressiva, zoals prednison. Het missen van de diagnose van een A. vasorum infectie bij deze patiënt en blinde behandeling van SRMA (hoewel an sich best te rechtvaardigen) was waarschijnlijk desastreus geweest.
De combinatie van MRI-bevindingen (T1-hyperintensiteit, T2*‑signal void, meningeale contrastversterking) bleek belangrijk voor het stellen van de diagnose. De casus toont het belang van een betrouwbare diagnose van Angiostrongylus-infecties, waarbij Baermann-methode cruciaal kan zijn, zeker bij een negatieve antigeentest. Ernstigere neurologische afwijkingen zoals door hersenbloedingen zijn voorkomen door tijdige behandeling.
Deze casus illustreert dat A. vasorum-infectie bij honden kan leiden tot bloedingen in en rond het zenuwstelsel. Bovendien benadrukt deze casus het belang van alertheid op Angiostrongylus vasorum‑infecties bij honden in Nederland (autochtone infecties).

Naar het eerste deel van dit drieluik.
Referenties:
Meer informatie over deze casus:
Santifort KM, den Toom M, Garosi L, Carrera I. Case report: Intracranial and spinal subarachnoid hemorrhage in a dog with Angiostrongylosis. Front Vet Sci. 2023 May 24;10:1190792. doi: 10.3389/fvets.2023.1190792.
Overige referenties:
Arnold, SA, Platt, SR, Gendron, KP, and West, FD. Imaging ischemic and hemorrhagic disease of the brain in dogs. Front Vet Sci. (2020) 7:279. doi: 10.3389/fvets.2020.00279
Santifort KM, Platt SR. Hemorrhagic encephalopathies and myelopathies in dogs and cats: a focus on classification. Front Vet Sci. 2024 Oct 28;11:1460568. doi: 10.3389/fvets.2024.1460568.
Lowrie, M, De Risio, L, Dennis, R, Llabrés-Díaz, F, and Garosi, L. Concurrent medical conditions and long-term outcome in dogs with nontraumatic intracranial hemorrhage. Vet Radiol Ultrasound. (2012) 53:381–8. doi: 10.1111/j.1740-8261.2012.01934.x
Garosi, LS, Platt, SR, McConnell, JF, Wrayt, JD, and Smith, KC. Intracranial haemorrhage associated with Angiostrongylus vasorum infection in three dogs. J Small Anim Pract. (2005) 46:93–9. doi: 10.1111/j.1748-5827.2005.tb00300.x
Willesen, JL, Langhorn, R, and Nielsen, LN. Hemostatic dysfunction in dogs naturally infected with Angiostrongylus vasorum-a narrative review. Pathogens. (2022) 11:249. doi: 10.3390/pathogens11020249
Colombo, M, Traversa, D, Grillotti, E, Pezzuto, C, De Tommaso, C, Pampurini, F, et al. Highly variable clinical pictures in dogs naturally infected with Angiostrongylus vasorum. Pathogens. (2021) 10, 10:1372. doi: 10.3390/pathogens10111372
van de Sande, AH. Angiostrongylus vasorum: Endemic in the Netherlands? (Master’s thesis). Utrecht University depository (2009).
van Doorn, DC, van de Sande, AH, Nijsse, ER, Eysker, M, and Ploeger, HW. Autochthonous Angiostrongylus vasorum infection in dogs in the Netherlands. Vet Parasitol. (2009) 162:163–6. doi: 10.1016/j.vetpar.2009.02.019
Grapes NJ, Packer RMA, De Decker S. Clinical reasoning in canine cervical hyperaesthesia: which presenting features are important? Vet Rec. 2020 Nov 28;187(11):448. doi: 10.1136/vr.105818.
Indzhova V, Czopowicz M, Kilpatrick S, Gutierrez-Quintana R, Brocal J. Signalment and C-reactive protein values in dogs with immune-mediated polyarthritis and steroid responsive meningitis arteritis. Front Vet Sci. 2023 Feb 14;10:1091318. doi: 10.3389/fvets.2023.1091318.
West N, Butterfield S, Rusbridge C, Fernandez A, Tabanez J, Rudolf NJ, Archer S, Whittaker D. Non-traumatic hemorrhagic myelopathy in dogs. J Vet Intern Med. 2023 May-Jun;37(3):1129-1138. doi: 10.1111/jvim.16694.
- De patiënten in deze artikelreeks zijn aangeboden bij de neurologie-afdeling van Evidensia Dierenziekenhuis Hart van Brabant, Waalwijk of Evidensia Dierenziekenhuis Arnhem. Toestemming van de eigenaar is verkregen voor het publiceren van de casuïstiek en beelden. ↩︎


